Riabilitazione estetica in zirconia

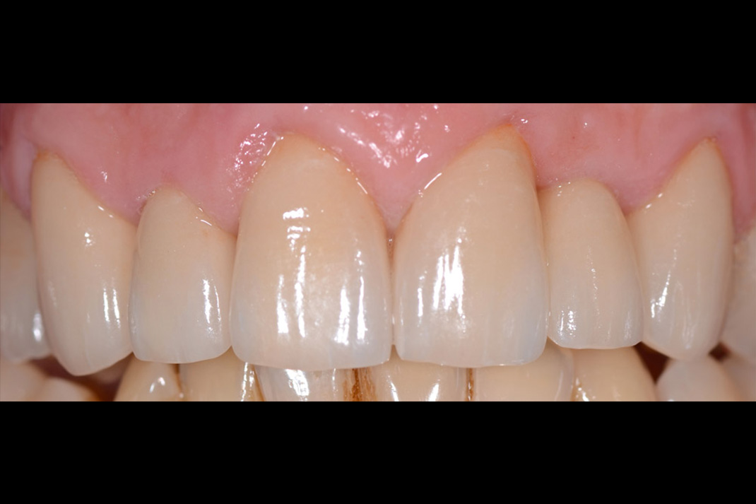
Per massimizzare l'estetica il clinico ha richiesto delle corone singole in zirconia stratificate da 13 a 23, e un ponte da 24 a 26.

richiedi ulteriori informazioni

Casi clinici correlati

Vedi tutti i casi clinici
Compila il form per richiedere informazioni.







    Leggi la nostra Privacy Policy

    Questo sito è protetto da reCAPTCHA e la Privacy Policy e Terms of Service di Google.

    Scopri le altre categorie
    2026 © Ceramodent di Morbiato Giampaolo & C s.n.c.
    magnifiercrosschevron-leftchevron-right