Si parla di carico immediato quando una volta che il medico ha posizionato gli impianti dentali nell'osso e ha constatato che hanno da subito una buona ritenzione primaria, si procede a "farli lavorare" immediatamente, ovvero si applica nel cavo orale del paziente una protesi dentale fissa (quasi sempre provvisoria) entro 24-48h.
Questo ha il vantaggio di evitare al paziente, edentulo, di dover portare una protesi mobile, che molte volte è difficile da far stare ferma ed è ingombrante soprattutto se è senza osso.
I carichi immediati possono essere eseguiti anche su edentulie parziali.
Con l'avvento di tecniche di ultima generazione nel campo della diagnostica , di nuove tecniche chirurgiche e di impianti studiati appositamente per i carichi immediati, molte volte si riesce a proporre a pazienti che fino a qualche anno fa sarebbero stati costretti a portare per mesi una protesi rimovibile delle protesi fisse a carico immediato.
Con oltre 40 anni di esperienza alle nostre spalle e collaborando con stimati professionisti, negli anni abbiamo affinato dei protocolli di laboratorio che ci permettono di ridurre al minimo gli errori e di poter proporre anche delle protesi con struttura metallica fusa, e quindi non solo provvisorie ma anche definitive.
Gli impianti dentali sono delle viti endossee, quasi sempre in titanio biocompatibile, che fungono da radici artificiali che vengono inserite nell'osso.
Ce ne sono di vari tipi, tra cui:
In base alle esigenze del paziente il medico utilizzerà il tipo di impianto più idoneo.
Non c'è un numero preciso di impianti che si possono o debbono mettere , varia da paziente a paziente, in linea generale per fare un classico carico immediato toronto bridge i nostri clienti medici consigliano di mettere almeno 4 impianti.
Tuttavia è una cosa molto soggettiva e il consiglio migliore è sempre quello di affidarsi al proprio dentista di fiducia.
La durata media di un impianto dentale ben osteointegrato e correttamente posizionato è di circa 10-15 anni, tuttavia la vita di un impianto si può allungare o accorciare notevolmente a seconda della "manutenzione" che il paziente gli fa.
Una pulizia quotidiana seguendo le linee guida del dentista e delle visite periodiche in studio sicuramente aiutano molto a mantenere sani gli impianti.
Secondo la nostra esperienza pluriennale le migliori protesi da posizionare sopra degli impianti osteointegrati correttamente sono in metallo ceramica o in metallo composito.
Sconsigliamo le protesi in zirconio, per quanto estetiche possano essere sono delle protesi "chiuse" cioè non è possibile modificarle nel tempo.
Nel dettaglio, una protesi viene prodotta per durare almeno 10-12 anni, ma a noi capita di rimaneggiare protesi che hanno 20-25 anni. Nell'arco di tutto questo tempo possono succedere un sacco di cose, si possono perdere degli impianti, si può rompere o scheggiare la protesi.
Una protesi con sottostruttura in metallo come quelle che proponiamo noi può essere riparata, saldata, rimaneggiata varie volte. quindi con una spesa non eccessiva si allunga la vita della protesi.
Cosa che non è possibile fare con lo zirconio, che non può essere né riparato né saldato.
Naturalmente, se il paziente è conscio di questi limiti siamo perfettamente in grado di eseguire anche protesi in zirconio ceramica o full zirconio.
Le protesi su impianti non necessitano di particolare manutenzione, si utilizzano scovolini, superfloss, idropulsori; sono necessarie visite periodiche di controllo dal dentista di fiducia, in modo che possa intervenire al primo segnale di patologia a carico degli impianti.
I pro e i contro clinici vanno valutati assieme al medico caso per caso, dal punto di vista tecnico l'unico contro può essere il costo iniziale, che però secondo noi si ripaga ampiamente dal punto di vista del comfort della protesi e la qualità della funzione.
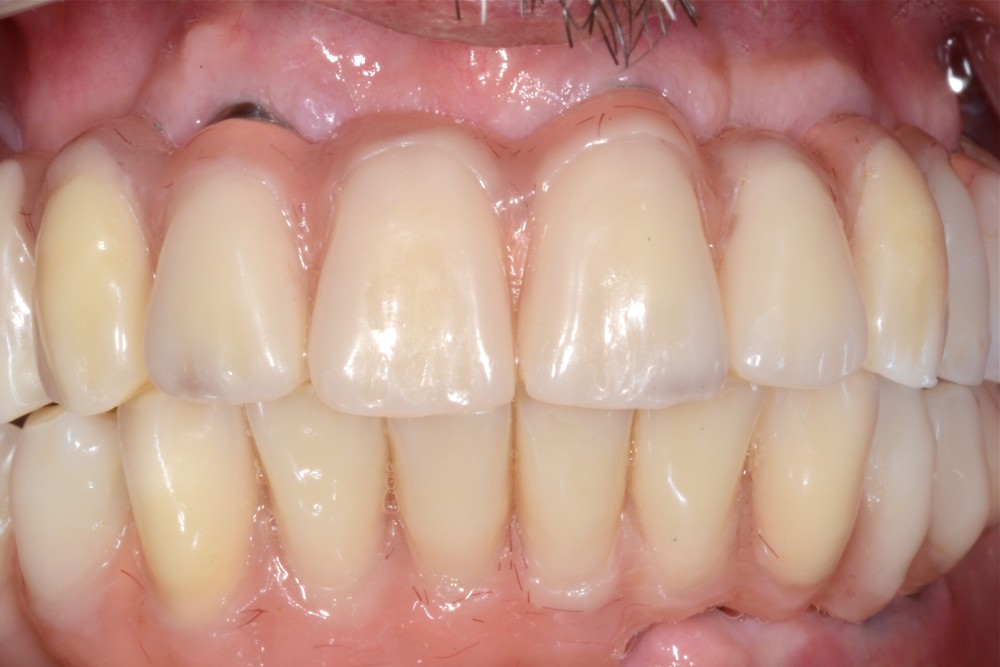
Il paziente presenta una situazione iniziale molto compromessa e ha bisogno di una bonifica totale dell’arcata superiore e inferiore.
Fortunatamente aveva un osso che permetteva di fare due carichi immediati e quindi di evitare che il paziente dovesse portare delle protesi totali.


Dopo aver rimosso i denti da entrambe le arcate si procede al posizionamento degli impianti nelle due arcate e si dimette il paziente.
Entro 24h dalla fine dell’intervento alla paziente viene restituita una buona funzione e un estetica soddisfacente.
Le due toronto realizzate sono ancorate agli impianti con una struttura metallica fusa in cr co e quindi si possono considerare definitive.
A distanza di qualche mese, a guarigione avvenuta, hanno avuto bisogno solamente di essere ribassate.
