Corone in composito Luna Wing metal free e intarsi in composito

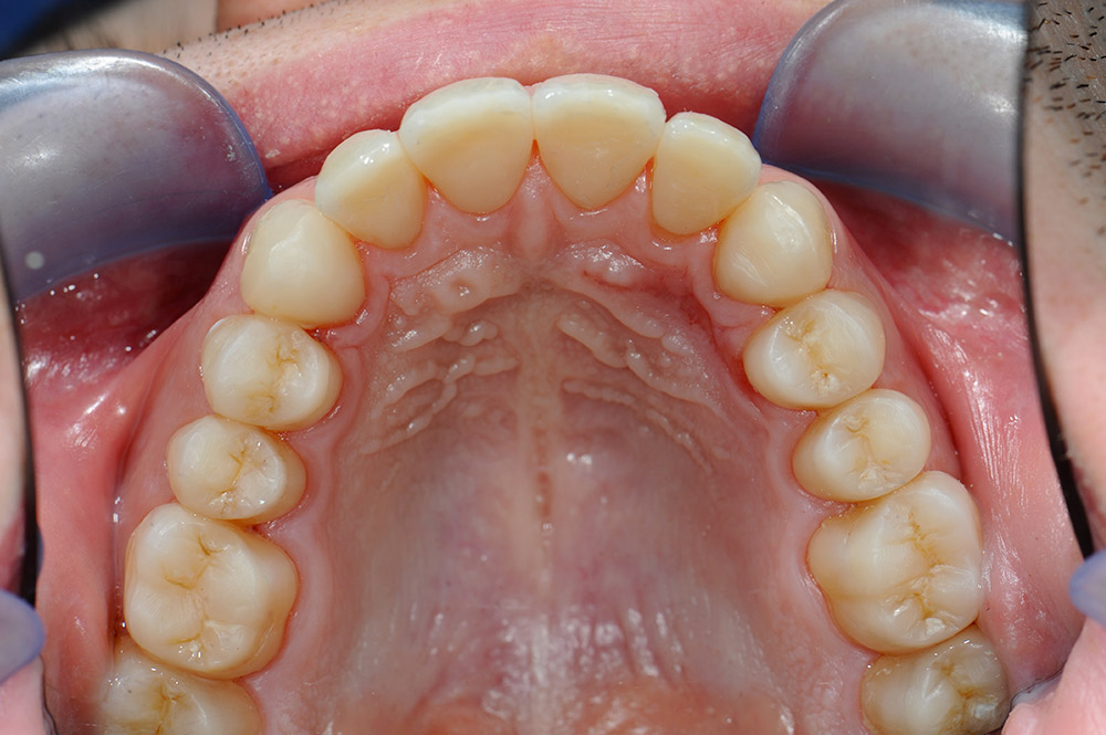
Il caso si presentava semplice, il paziente desiderava riabilitare solamente i 4 incisivi centrali superiori allungandoli per ripristinare una corretta prporzione.
Ma avendo perso anche dimensione verticale non si potevano allungare senza un rialzo di masticazione, a causa della funzione protrusiva.
Per motivi prevalentemente economici si è optato per una serie di intarsi in composito e corone a giacca in composito sui quattro incisivi superiori.

richiedi ulteriori informazioni

Casi clinici correlati

Vedi tutti i casi clinici
Compila il form per richiedere informazioni.







    Leggi la nostra Privacy Policy

    Questo sito è protetto da reCAPTCHA e la Privacy Policy e Terms of Service di Google.

    Scopri le altre categorie
    2026 © Ceramodent di Morbiato Giampaolo & C s.n.c.
    magnifiercrosschevron-leftchevron-right