Riabilitazione totale inferiore e superiore su impianti in Metallo - Composito

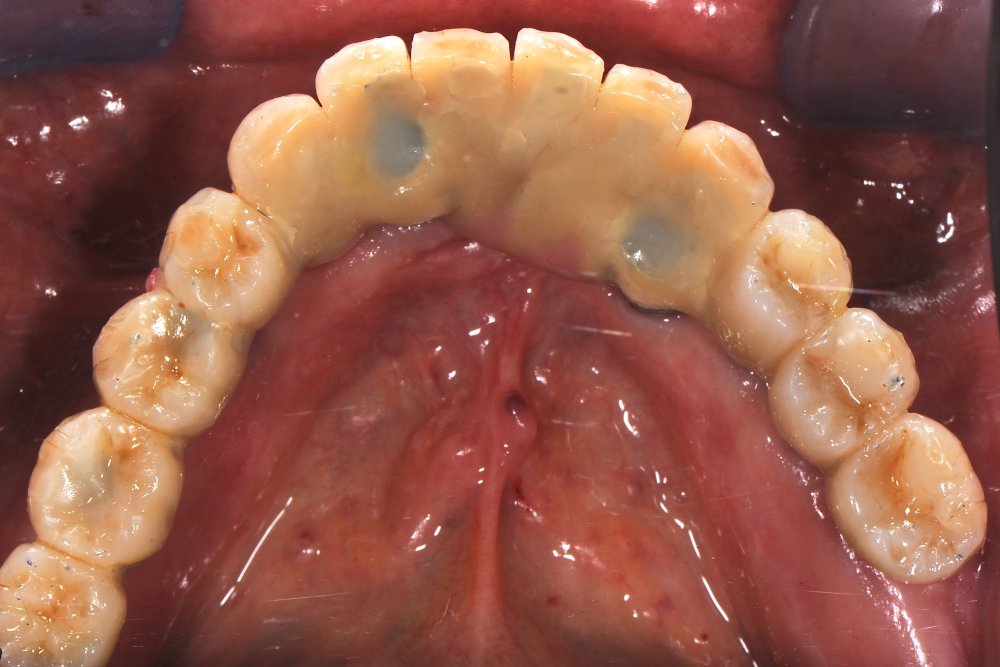
il paziente si presentava con una situazione compromessa nelle due arcate, il piano riabilitativo concordato è stato quello di una protesi totale provvisoria superiore (con futuro carico immediato), e di una protesi in metallo - composito ( LUNA WING ) differita.

richiedi ulteriori informazioni

Casi clinici correlati

Vedi tutti i casi clinici
Compila il form per richiedere informazioni.







    Leggi la nostra Privacy Policy

    Questo sito è protetto da reCAPTCHA e la Privacy Policy e Terms of Service di Google.

    Scopri le altre categorie
    2026 © Ceramodent di Morbiato Giampaolo & C s.n.c.
    magnifiercrosschevron-leftchevron-right